
第一代
金属牙冠
最常见的金属牙冠为黄金牙冠。其他非贵金属牙冠的材料有镍镉合金,钴铬合金等,均与真牙外观差别甚大,不美观。
20世纪90年代
第二代
烤瓷牙
烤瓷牙的基底冠以金属作为支撑,外冠采用金属-瓷复合结构修复体,其生物相容性较差,极易产生金属灰线。
21世纪
第三代
全瓷牙
全瓷牙整体采用与牙齿颜色相近的高强度瓷材料,内冠无金属,美观性很高,是现今最受欢迎的牙齿修复方法。
2013年至今
经过升级换代,德伦已全面引进数字化CAD(计算机辅助设计)CAM(计算机辅助制造)技术,配合最新的五轴车床设备,快速制作牙冠,实现2天美牙,使牙齿美容修复达到方案可视,快速、精确、安全。
NO.1
真牙VITA比色

NO.2
数字设计

NO.3
制作牙冠

NO.4
戴上仿真冠体


治疗项目:纯欧牙齿美容修复


美牙者:吴小姐
年 龄:20岁
职 业:在校大学生
牙齿症状:烤瓷牙失败
治疗项目:纯欧牙齿美容修复
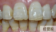
治疗项目:纯欧牙齿美容修复


美牙者:王小姐
年 龄:29岁
职 业:客户经理
牙齿症状:四环素牙、牙
缺损、牙齿拥挤
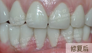
治疗项目:纯欧牙齿美容修复
烤瓷牙失败修复可享10%公益援助
崔巧明执业医师
德伦口腔修复科主任
刘艳主治医师
德伦口腔修复科医生
崔保亮主治医师
德伦口腔美容修复与种植医生
叶俊主治医师
德伦口腔修复医生
邓英春 主治医师
德伦口腔修复医生
崔保亮主治医师
德伦口腔美容修复与种植医生


纯欧牙齿美容修复的效果怎么样?
纯欧牙齿美容修复根据每个人具体的身高、面形、肤色以及职业须要来设计制作。可以达到的效果是:符合大众审美标准的同时,与本人的个性特征相符合,修复后的牙齿看上去齿色晶莹皓洁、无牙纹、富有光泽,与自身牙浑然一体,相辅相成。

纯欧牙齿美容修复的费用是多少?
牙齿修复的价格主要根据牙齿的颗数,以及患者牙齿问题的严重程度决定。一般价格不是固定的,而且受到材料品质、医生水平、医院设备等因素影响。

纯欧牙齿美容修复会不会有危害?
纯欧牙齿美容修复作为一种全新的牙齿修复方法,在传统烤瓷牙的基础上取得了重大突破,对于它的危害之说,基本是都是由于患者没有选择到正规牙科医院就诊,一些不良诊所对牙齿修复材料偷梁换柱以及其聘用的牙科医生技术不专业所致。因此患者应选择到正规权威的牙科医院就诊。